西北旱区生态水利国家重点实验室大型仪器设备“三轴X射线动态扫描综合测试分析系统”已完成安装、调试和试运行,具备正式运行条件。按照《西安理工大学仪器设备开放共享管理办法》(西安理工实管【2017】5号),现计划将该设备面向校内外用户开放共享,具体信息如下:
设备信息 |
 |
品牌型号 |
ZEISS Xradia 515 Versa |
存放地点 |
西安理工大学金花校区学科1号楼111 (微结构多功能检测实验室) |
联系人 |
晁老师(QQ: 348853081,17391916391) |
预约网址 |
https://newyqgx.xaut.edu.cn/ customer/index/index.html |
主要规格及指标 |
①三维空间分辨率0.5um; ②射线管电压30kV-160k (连续可调),功率1W-10W; ③可选物镜:0.4x,4x,20x,40x; ④四轴样品台:X,Y,Z,Theta ④样品最大尺寸300 mm,最大重量25kg。 |
功能及应用 |
可无损观测固体、粉末等多形态样品,包括对岩土、金属、高分子、陶瓷、建筑、能源、生物组织、电池、电子器件及半导体等材料的内部微观结构(组织形貌及结构特征),进行无损伤、高分辨、多维度、多尺度的直观表征。 |
样品要求 |
送样预约。 预约需要说明样品具体物性、测试要求,不接受任何带有腐蚀性、有毒害性等样品。 |
收费信息 |
收费项目 |
收费标准 |
收费范围和期间 |
收费依据 |
说明 |
X射线显微镜样品扫描 |
1000元(校内) 2000元(校外) 限1小时,超时按500元/小时收费 |
校内/校外、长期 |
按扫描时间 |
收费标准参照省内、国内拥有同类设备的高等院校、科研院所收费标准制定。 |
1500元/样(校内) 3000元/样(校外) |
按样品数量 |
X射线显微镜软件分析 |
200~500元:3D重构、图像渲染、图像截图、图像动画等。 |
3DViewer 图像可视化 处理软件 |
500~1000元:图像滤波、阈值分割、网格化处理、定量分析计算等。 |
Dragonfly Pro 三维图像分析软件 |
|
|
|
|
|
|
|
西北旱区生态水利国家重点实验室——微结构多功能检测实验室
西北旱区生态水利国家重点实验室微结构多功能检测实验室成立于2023年5月,位于西安理工大学金花校区学科一号楼111室,主要检测设备为一台蔡司X射线动态扫描成像仪,也称X射线显微镜。该设备主要功能是通过高能量微聚焦的X射线源,发射具有高穿透性的X射线来扫描待测样品,配合数据采集、重构、可视化等软件包,以二维虚拟切片和三维图像的形式,清晰、准确、直观、无损地展示各类样品内部组织、形貌、结构等。设备不仅可以从多维度、多尺度来表征样品内部微观结构,还可实现最高0.5um的高空间分辨率。其检测样品可以是多形态、多材质,例如,对岩土、金属、混凝土、陶瓷、高分子材料的三维无损分析;对动、植物材料的微观结构三维成像;对半导体材料的形貌测量及失效分析等。


微结构多功能检测实验室与X射线显微镜
实测样品效果展示:
(1)沥青混凝土块断层扫描二维重构切片与3D渲染效果
(2)切割木料断层扫描二维重构切片与3D渲染效果
(3)岩土材料3D重构渲染动画(见附件1)
(4)纤维材料3D重构渲染及网格化输出动画(见附件2~3)
该设备自试运行以来,已累计测样200余人次,涉及了我校土木、水利、农业、材料等多个学科,举办了一场校内外百人技术交流会。目前已知基于此设备获批国家基金、博后资助各一项,申请专利、发表论文若干,培养研究生数名。
蔡司X射线显微镜(X-Ray Microscope)简介
(1)X射线的特性
X射线是一种具有很高能量的电磁辐射,具有波粒二象性,既可以表现出粒子性又可以表现出波动性。X射线的波长非常短,可以穿透物质并与物质相互作用。
(2)X射线显微镜的构造
X射线显微镜主要由光学系统、激发系统和探测系统组成。光学系统包括透镜和光栅,用于聚焦和分析入射的X射线。激发系统用于产生高强度的X射线束,常用的有同步辐射和x射线管。探测系统用于接收和记录经过样品散射后的X射线。
(3)X射线显微镜的成像原理
X射线显微镜的成像原理是基于样品对X射线的吸收、散射和衍射。当入射X射线经过样品后,会发生吸收和散射,这些散射的X射线会被探测系统接收。通过测量探测系统接收到的散射信号,可以获得样品的结构和组成信息。
(4)X射线显微镜的优势
X射线显微镜具有高分辨率、无损伤和大样品透明性等优势,可以观察非常细小的结构和组成。
(5)X射线显微镜的应用
X射线显微镜是一种重要的成像工具,它利用X射线的特性和样品对X射线的相互作用,实现了对微观结构和组成的观察,在各领域都有广泛的应用前景。
①材料科学:用于研究材料的性能和改性。
典型任务与应用
● 观察软复合材料中的裂缝或测量钢材中的孔隙率
● 对真空条件和带电粒子束不适合观察的材料进行成像
● 观察二维表面成像手段(如光学显微镜,扫描电子显微镜和原子力显微镜等)难以观察到的深埋内部的微观结构
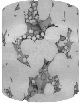
无损3D成像对于增材制造的发展至关重要。 粉末冶金不锈钢样品经过激光烧结,并使用XRM成像。基于3D数据体,将未烧结的固相进行图像分割并对其体积进行定量测量。在不损坏样品情况下,X射线显微镜还可通过虚拟切片的查看确定感兴趣区域,进而进行内部断层扫描成像的能力。

粉末烧结钢
②生命科学:可以观察生物样品的细胞结构、蛋白质分布等微观结构,用于研究生物体的功能和机制。
典型任务与应用
● 实现虚拟的组织学切片观察,对细胞和亚细胞特征进行可视化
● 通过观察高分辨率、高衬度的细胞和亚细胞结构,拓展在发育生物学方面的视野
● 对完整的大样本进行成像,例如大脑组织或大骨头
● 对未染色和染色的组织实现高分辨率和高衬度成像
● 探究硬组织和软组织以及生物的微观结构

牙科移植体 紫 檀 蚂 蚁
③原材料科学:如岩土、金属、陶瓷、高分子等三维无损分析。
典型任务与应用
● 表征岩心尺度上的非均质性,并对孔隙结构进行量化
● 流体流动测试,纹理分析,对不同特征尺寸进行分类
● 碳固存研究
● 改进矿物加工工艺流程:分析尾矿以尽量提高采收率,进行热力学浸出研究,对铁矿石等采矿产品进行 QA/QC 分析
● 精准的3D亚微米级成像,以帮助进行数字岩心模拟、原位多相流体流动研究和3D 矿物学分析
● 以高效率对大尺寸(4英寸岩心直径)样品进行多尺度成像、表征和建模

页岩非均质性 碳纤维束 树脂基玻璃纤维
④电子器件:用于研究形貌测量及失效分析。
典型任务与应用
● 对完整封装进行无损亚微米成像来进行缺陷定位和表征,从而优化工艺开发并进行失效分析
● 用三维方式测量内部特征或研究封装的可靠性
● 受益于高分辨率和无损的3D亚微米成像,可部分替代或者补充物理切片观察的方法
● 通过完整设备的高通量的宏观扫描,可在单一工具的工作流程中实现高效工作
● 无损“定位-放大”系统,可实现快速从模组到封装、到互连的缺陷进行重新定位,并快速获得亚微米级成像表征结果,以补充或替代物理切片观察方法。.

芯片凸点 金线形态 摄像头装配
……
欢迎各位老师、同学预约测样!
西北旱区生态水利国家重点实验室宣传链接https://mp.weixin.qq.com/s?__biz=MzUwOTg4NjQzNw==&mid=2247484073&idx=1&sn=ebd282f734b0b008c3866ecd1f985e96&chksm=f90a2823ce7da1352c7502db7f30ecded372b699e92e47992ceec9c36bc297d36ef6dea9b7bc&scene=126&sessionid=1709775907#rd